Dr. Abdelrahman Tawfik
Pioneer of Microscopic Dentistry in Egypt
I believe in dentistry that reveals the unique smile within every person
With a keen eye and precise techniques, every detail is taken care of to deliver an authentic, vibrant smile
More than an excellent professional, he truly cares about his patients. The clinic is modern, welcoming, and very well-organized. Highly recommended!
Verified Patient
Source: Google
Specialized Services
Dr. Abdelrahman Tawfik is not just a dentist — he is a partner in transforming smiles. With a focus on precision, innovation, and minimally invasive dentistry, he offers tailored treatments for every stage of your oral health.
01
Microscopic Dentistry
- Precision treatments using dental microscopes.
- Minimally invasive procedures that preserve natural teeth.
- Advanced techniques for deep decay management.
02
Aesthetic Dentistry
- Composite restorations with natural finish.
- Smile design & proportion analysis (pink & white aesthetics).
- Laser & home teeth whitening.
03
Implant
- Replace a missing tooth with a precisely placed implant using microscopic techniques to ensure minimal invasive treatment
04
Restorative & Surgical
- Advanced composite restorations (Bioclear method).
- Minimally invasive crown lengthening.
- Simple & complex extractions when necessary.
05
Preventive Care
- Professional cleaning & scaling.
- Sealants for caries prevention.
- Gum and soft tissue health management.
06
Smile Transformation
- Full smile analysis.
- Personalized treatment plans.
- Natural-looking, long-lasting results.
A Journey of Innovation
Who is Dr. Abdelrahman Tawfik?
Dr. Abdelrahman Tawfik is a distinguished dentist and educator, specializing in microscopic and aesthetic dentistry. He graduated from Mansoura University – Faculty of Dentistry (2007) and earned a Diploma in Endodontics (2010). Always pursuing excellence, he completed a 2-year clinical program in Implant & Soft Tissue (2021) and a Family Dentistry Fellowship (2016) in Cairo.
From early in his career, Dr. Tawfik was driven by precision and innovation. He became the first dentist in Egypt to pioneer microscopic dentistry, allowing treatments with unparalleled accuracy and minimal invasiveness. Alongside his clinical work, he has a passion for education, founding the Tomorrow Tooth Academy — the first dental training center in the Middle East fully dedicated to microscopic dentistry and Bioclear techniques.
Perfectionist by nature, Dr. Tawfik views dentistry as more than treatment; it is a harmony of functionality and aesthetics. His mission is to deliver complete care that combines health, precision, and natural beauty for every smile.
+15
Years
of clinical experience
+300
International & local
training courses delivered
+15
Countries
lectured worldwide
+13
Dental microscopes
Founder of Tomorrow Tooth Academy
Advanced Training Programs
Dr. Tawfik has refined his expertise through diverse international courses, sharing his knowledge globally and mastering techniques in microscopic and esthetic dentistry.
Egypt
Egypt - Occlusion & Treatment Planning — 2018–2019
Italy
Italy - Endodontics Intensive — 2011
- Layering Esthetic Composite (Style Italiano) — 2015
Dubai (UAE)
Dubai (UAE) - Endodontics Intensive — 2012
Portugal (Lisbon)
Portugal (Lisbon) - Endodontics Intensive — 2013
India
India - Endodontics Intensive — 2014
USA
USA - Digital Smile Design (DSD) — Miami, 2014
- Occlusion & Treatment Planning — 2017–2018
- Bioclear Mastery Course — Seattle
- Endodontic Surgery — University of Pennsylvania
Brazil
Brazil - Occlusion & Treatment Planning — 2015
- Professional Observership — 2016
Sweden
Sweden - Soft Tissue Management — 2017
Patient Journeys
Explore real cases treated by Dr. Abdelrahman Tawfik, showcasing his expertise in endodontics, cosmetic dentistry, and digital smile design. Each case reflects a commitment to precision, function, and natural aesthetics.
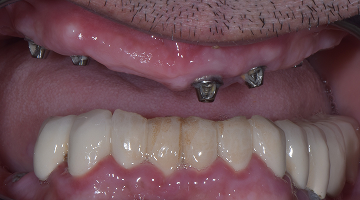
A patient who had lost all his teeth due to severe decay regained his smile and confidence. With modern implants and carefully planned restorations, he now eats and laughs naturally again.
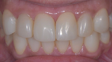
An Egyptian patient living in Dubai traveled to us seeking a permanent solution for missing teeth. Through advanced implants and gum grafting, we rebuilt both function and natural beauty in record time.
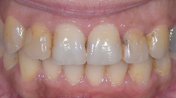
A patient from the U.S. came seeking a fast, natural solution for mismatched fillings and early decay. In just four days, we restored her healthy, confident smile without drilling or aggressive treatment.
Certificates & Accreditations
Dr. Abdelrahman Tawfik has earned multiple international certificates that reflect his dedication to continuous education and excellence in dentistry.





















